Şimdi Randevu Alın
Gülüş Tasarımı
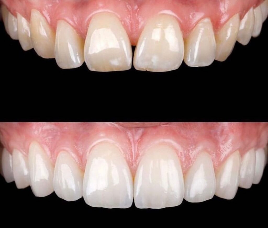
DT. Tansu Faylim Üzel Ağız ve Diş Muayenehanesinde gülüş tasarımı yaptıran bazı hastalarımıza ait görsellerdir.





drtansuuzel.com
Skip to contentDT. Tansu Faylim Üzel Ağız ve Diş Muayenehanesinde gülüş tasarımı yaptıran bazı hastalarımıza ait görsellerdir.




